medigraphic.com
SPANISH

Latin American Journal of Oral and Maxillofacial Surgery

ISSN 2992-7757 (Electronic)
Órgano de difusión de la Asociación Latinoamericana de Cirugía y Traumatología Bucomaxilofacial (ALACIBU)
  • Contents
  • View Archive
  • Information
    • General Information        
    • Directory
  • Publish
    • Instructions for authors        
  • medigraphic.com
    • Home
    • Journals index            
    • Register / Login
  • Mi perfil

2025, Number 2

<< Back Next >>

Lat Am J Oral Maxillofac Surg 2025; 5 (2)

Use of plasma rich in growth factors with anterior iliac crest graft for repair of nasoalveolar cleft in patient with unilateral cleft lip and palate

Gómez-Hernández KA, Alonso-Moctezuma A, Castilla-Canseco H, Cuen-Lara E
Full text How to cite this article 10.35366/121109

DOI

DOI: 10.35366/121109
URL: https://dx.doi.org/10.35366/121109

Language: Spanish
References: 30
Page: 54-58
PDF size: 313.78 Kb.


Key words:

nasoalveolar fissure, platelet rich growth factors, graft.

ABSTRACT

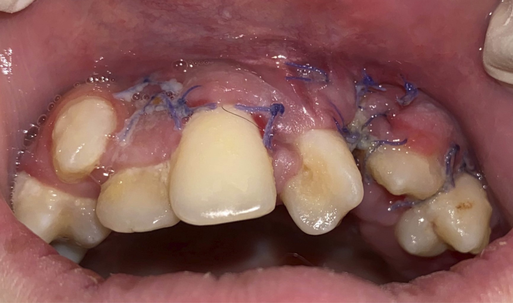
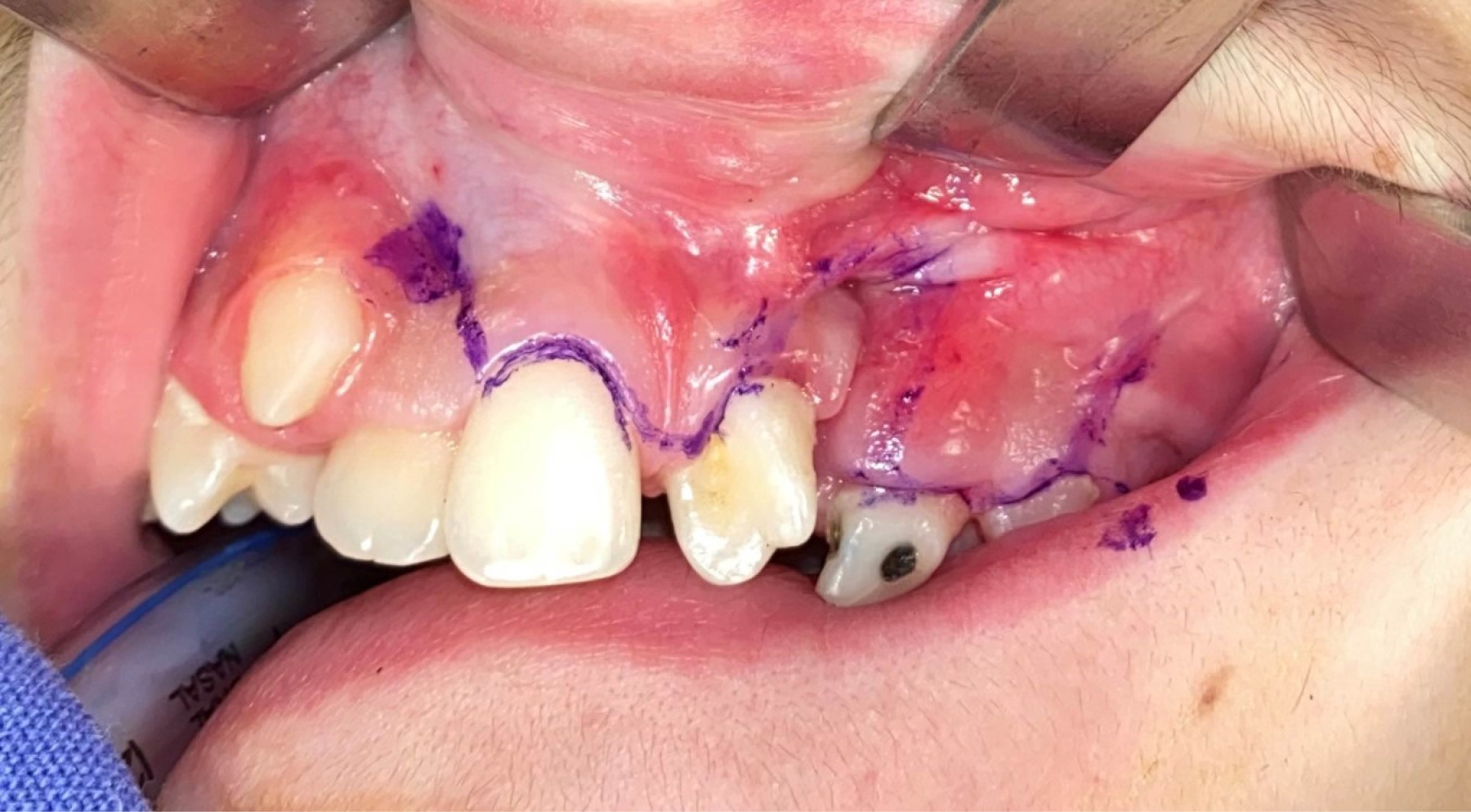
Introduction: nasoalveolar fissures are common in patients with cleft lip and palate. Surgical treatment continues to feel the autologous bone graft with anterior iliac crest, however, the main complication of the surgical site is bone exposure and graft loss. Objective: the objective of this clinical case is to show how the use of biomaterials such as plasma rich in growth factors allows to improve the integration of the bone graft by avoiding the dehiscence of the gum. Case presentation: we present a 36-year-old female patient with cleft lip palate and nasoalveolar fissure treated by bone graft of nasoalveolar fissure and plasma rich in growth factors, presents adequate integration of the graft and scarring of soft tissue at six and 12 months postoperatively. Conclusions: the use of biomaterials such as plasma rich in growth factors is suggested to avoid dehiscence and graft compromise, thus avoiding a second surgery.


REFERENCES

  1. Mo YW, Lee DL. Data analysis of recent cleft lip and palate surgery in Korea using the National Health Insurance Service (NHIS) database. J Plast Reconstr Aesthetic Surg. 2021; 74 (2): 387-395.

  2. Seifeldin SA. Is alveolar cleft reconstruction still controversial? (Review of literature). Saudi Dent J. 2016; 28 (1): 3-11. doi: 10.1016/j.sdentj.2015.01.006.

  3. Gorney M. Rehabilitation for the post-cleft nasolabial stigma. Clin Plast Surg. 1988; 15 (1): 73-82.

  4. Vyas RM, Warren SM. Unilateral Cleft Lip Repair. Clin Plast Surg. 2014; 41 (2): 165-177. doi: 10.1016/j.cps.2013.12.009.

  5. Guo J, Li C, Zhang Q, Wu G, Deacon SA, Chen J, et al. Secondary bone grafting for alveolar cleft in children with cleft lip or cleft lip and palate. Cochrane database Syst Rev. 2011;(6):CD008050.

  6. Kapadia H, Olson D, Tse R, Susarla SM. Nasoalveolar molding for unilateral and bilateral cleft lip repair. Oral Maxillofac Surg Clin North Am. 2020; 32 (2): 197-204. doi: 10.1016/j.coms.2020.01.008.

  7. Boyne PJ, Sands NR. Secondary bone grafting of residual alveolar and palatal clefts. J Oral Surg. 1972; 30 (2): 87-92.

  8. Boyne PJ, Sands NR. Combined orthodontic-surgical management of residual palato-alveolar cleft defects. Am J Orthod. 1976; 70 (1): 20-37.

  9. Borstlap WA, Heidbuchel KL, Freihofer HP, Kuijpers-Jagtman AM. Early secondary bone grafting of alveolar cleft defects. A comparison between chin and rib grafts. J Craniomaxillofac Surg. 1990; 18 (5): 201-205.

  10. Bergland O, Semb G, Abyholm F, Borchgrevink H, Eskeland G. Secondary bone grafting and orthodontic treatment in patients with bilateral complete clefts of the lip and palate. Ann Plast Surg. 1986; 17 (6): 460-474.

  11. Horswell BB, Henderson JM. Secondary osteoplasty of the alveolar cleft defect. J Oral Maxillofac Surg. 2003; 61 (9): 1082-1090.

  12. Le BT, Woo I. Alveolar cleft repair in adults using guided bone regeneration with mineralized allograft for dental implant site development: a report of 2 cases. J Oral Maxillofac Surg. 2009; 67 (8): 1716-1722.

  13. Mossaad A, Badry T El, Abdelrahaman M, Abdelazim A, Ghanem W, Hassan S, et al. Alveolar cleft reconstruction using different grafting techniques. Open Access Maced J Med Sci. 2019; 7 (8): 1369-1373.

  14. Eichhorn W, Blessmann M, Pohlenz P, Blake FAS, Gehrke G, Schmelzle R, et al. Primary osteoplasty using calvarian bone in patients with cleft lip, alveolus and palate. J Craniomaxillofac Surg. 2009; 37 (8): 429-433.

  15. Eppley BL. Alveolar cleft bone grafting (Part I): primary bone grafting. J Oral Maxillofac Surg. 1996; 54 (1): 74-82.

  16. Dao AM, Goudy SL. Cleft palate repair, gingivoperiosteoplasty, and alveolar bone grafting. Facial Plast Surg Clin North Am. 2016; 24 (4): 467-476. doi: 10.1016/j.fsc.2016.06.005.

  17. Carlini JL, Biron C. Use of the iliac crest cortex for premaxilla fixation in patients with bilateral clefts. J Oral Maxillofac Surg. 2020; 78 (7): 1192.e1-1192.e13.

  18. Abramowicz S, Katsnelson A, Forbes PW, Padwa BL. Anterior versus posterior approach to iliac crest for alveolar cleft bone grafting. J Oral Maxillofac Surg. 2012;70 (1): 211-215. doi: 10.1016/j.joms.2011.02.044.

  19. Brucoli M, Sonzini R, Bosetti M, Boffano P, Benech A. Plasma rich in growth factors (PRGF) for the promotion of bone cell proliferation and tissue regeneration. Oral Maxillofac Surg. 2018; 22 (3): 309-313.

  20. Del Fabbro M, Panda S, Taschieri S. Adjunctive use of plasma rich in growth factors for improving alveolar socket healing: a systematic review. J Evid Based Dent Pract. 2019; 19 (2): 166-176.

  21. Anitua E, Alkhraisat MH, Orive G. Perspectives and challenges in regenerative medicine using plasma rich in growth factors. J Control Release. 2012; 157 (1): 29-38.

  22. Anitua E. Plasma rich in growth factors: preliminary results of use in the preparation of future sites for implants. Int J Oral Maxillofac Implants. 1999; 14 (4): 529-535.

  23. Solakoglu O, Heydecke G, Amiri N, Anitua E. The use of plasma rich in growth factors (PRGF) in guided tissue regeneration and guided bone regeneration. A review of histological, immunohistochemical, histomorphometrical, radiological and clinical results in humans. Ann Anat - Anat Anzeiger. 2020; 231: 151528.

  24. Sandy J, Davies M, Prime S, Farndale R. Signal pathways that transduce growth factor-stimulated mitogenesis in bone cells. Bone. 1998; 23 (1): 17-26.

  25. González-Sánchez JG, Jiménez-Barragán K. Closure of recurrent cleft palate fistulas with plasma rich in growth factors. Acta Otorrinolaringol Esp. 2011; 62 (6): 448-453.

  26. Steed DL. The role of growth factors in wound healing. Surg Clin North Am. 1997; 77 (3): 575-586.

  27. Grazul-Bilska AT, Johnson ML, Bilski JJ, Redmer DA, Reynolds LP, Abdullah A, et al. Wound healing: the role of growth factors. Drugs Today (Barc). 2003; 39 (10): 787-800.

  28. Janssen NG, Weijs WLJ, Koole R, Rosenberg AJWP, Meijer GJ. Tissue engineering strategies for alveolar cleft reconstruction: a systematic review of the literature. Clin Oral Investig. 2014; 18 (1): 219-226.

  29. Shirani G, Abbasi AJ, Mohebbi SZ, Moharrami M. Comparison between autogenous iliac bone and freeze-dried bone allograft for repair of alveolar clefts in the presence of plasma rich in growth factors: a randomized clinical trial. J Craniomaxillofac Surg. 2017; 45 (10): 1698-1703.

  30. Kamal M, Ziyab AH, Bartella A, Mitchell D, Al-Asfour A, Holzle F, et al. Volumetric comparison of autogenous bone and tissue-engineered bone replacement materials in alveolar cleft repair: a systematic review and meta-analysis. Br J Oral Maxillofac Surg. 2018; 56 (6): 453-462.




Figure 1
Figure 2
Figure 3
Figure 4
Figure 5
Figure 6
Figure 7

2020     |     www.medigraphic.com

Mi perfil

C?MO CITAR (Vancouver)

Lat Am J Oral Maxillofac Surg. 2025;5