medigraphic.com
SPANISH

Acta Médica Grupo Ángeles

Órgano Oficial del Hospital Ángeles Health System
  • Contents
  • View Archive
  • Information
    • General Information        
    • Directory
  • Publish
    • Instructions for authors        
    • Manuscript submission
    • Policies
    • Names and affiliations of the Editorial Board
  • About us
    • Data sharing policy
    • Stated aims and scope
  • medigraphic.com
    • Home
    • Journals index            
    • Register / Login
  • Mi perfil

2025, Number 5

<< Back Next >>

Acta Med 2025; 23 (5)

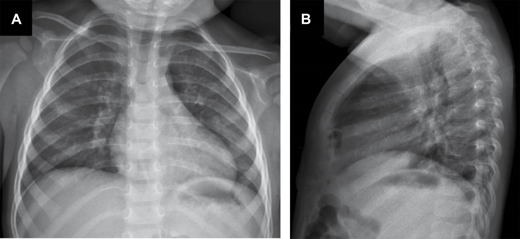
Morgagni-Larrey hernia: multimodal imaging evaluation and the importance of continuous surveillance

Hernández JR, Mora CJ, Suárez NJE, Mondragón JCM
Full text How to cite this article 10.35366/121190

DOI

DOI: 10.35366/121190
URL: https://dx.doi.org/10.35366/121190

Language: Spanish
References: 5
Page: 475-478
PDF size: 811.60 Kb.


Key words:

Morgagni-Larrey hernia, congenital diaphragmatic hernia, sternocostal triangle, recurrent respiratory tract infections.

ABSTRACT

Morgagni-Larrey hernia, a rare congenital disability, poses challenges in its diagnosis and treatment. This article presents the case of a 24-month-old boy with a history of gastroesophageal reflux and recurrent pneumonia who presented with fever, persistent cough, and respiratory distress. Computed tomography (CT) and chest X-ray were essential in identifying an anterior diaphragmatic defect and protrusion of the transverse colon. Laparoscopic surgery, performed with the Hasson technique, allowed for precise repair of the defect with minimal invasions. The patient recovered without complications, highlighting the effectiveness of advanced imaging techniques and laparoscopy in managing this condition.


REFERENCES

  1. Ortiz RJ, Ruiz J, Andrade Manso M, Reusmann A, Boglione MM, Giuseppucci C. et al. Laparoscopic repair of Morgagni hernia in children: Tips and tricks learned in 20 years' experience at a tertiary pediatric center. Cir Pediatr. 2025;7:38(2):38-44. English, Spanish. doi: 10.54847/cp.2025.02.11. PMID: 40196877.

  2. Hashmi MU, Ullah K, Tariq A, Sarwar M, Khan IH. Morgagni-Larrey hernia: a possible cause of recurrent lower respiratory tract infections. Cureus. 2019; 11 (2): e4035. doi: 10.7759/cureus.4035.

  3. Plaksin SA. Diagnostics and treatment of Morgagni-Larrey hernia. Khirurgiia (Mosk). 2022; (2): 24-29. doi: 10.17116/hirurgia202202124.

  4. Lim L, Gilyard SM, Sydorak RM, Lau ST, Yoo EY, Shaul DB. Minimally invasive repair of pediatric Morgagni hernias using transfascial sutures with extracorporeal knot tying. Perm J. 2019; 23: 18.208. doi: 10.7812/TPP/18.208.

  5. Karadag CA, Erginel B, Yildiz A, Kaba M, Demir M, Sever N. Laparoscopic repair of Morgagni hernia in children. J Pediatr Surg. 2023; 58 (9): 1670-1673. doi: 10.1016/j.jpedsurg.2023.01.045.




Figure 1
Figure 2
Figure 3

2020     |     www.medigraphic.com

Mi perfil

C?MO CITAR (Vancouver)

Acta Med. 2025;23