medigraphic.com
SPANISH

Salud Jalisco

ISSN 2448-8747 (Print)
Publicación cuatrimestral editada por la Secretaría de Salud Jalisco
  • Contents
  • View Archive
  • Information
    • General Information        
    • Directory
  • Publish
    • Instructions for authors        
  • medigraphic.com
    • Home
    • Journals index            
    • Register / Login
  • Mi perfil

2025, Number 2

<< Back Next >>

Sal Jal 2025; 12 (2)

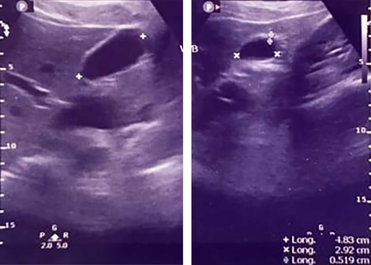
Acute acalculous cholecystitis in people with dengue reinfection

Herrera-Tirado IM, Becerra-Díaz AT, Hernández-Esparza S, Rolón-Díaz JC, Gutiérrez-Mercado YK, Macías-Carballo M, Sánchez-González VJ, Becerra-Solano LE
Full text How to cite this article 10.35366/121800

DOI

DOI: 10.35366/121800
URL: https://dx.doi.org/10.35366/121800

Language: Spanish
References: 13
Page: 113-121
PDF size: 861.76 Kb.


Key words:

acute cholecystitis, acute acalculous cholecystitis, dengue, DENV-3, reinfection.

ABSTRACT

Dengue infections show a rise with the increasing environmental humidity. Clinical manifestations are variable, and they are classified according to alarm signs, highlighting gastrointestinal manifestations like acute acalculous cholecystitis (AAC). We describe two cases with reinfection and another with primary infection; we emphasize that gastrointestinal manifestations are most common in reinfection (with warning signs), that in those with classic manifestations (without warning signs) by primary infection. We suggest that, in abdominal pain, AAC should be ruled out by ultrasonography and consider the background of previous infection by different serotypes.


REFERENCES

  1. Yacoub S, Wills B. Dengue: an update for clinicians working in non-endemic areas. Clin Med (Lond). 2015;15(1):82-85. doi: 10.7861/clinmedicine.15-1-82.

  2. OPS/OMS: Dengue guías para el diagnóstico, tratamiento, prevención y control. Disponible en: https://iris.who.int/bitstream/handle/10665/44504/9789995479213_spa.pdf?sequence=1&isAllowed=y

  3. Secretaría de Salud. Panorama epidemiológico de dengue 2024. Disponible en: https://www.gob.mx/salud/documentos/panorama-epidemiologico-de-dengue-2024

  4. Uddin KS, Uddin ASM, Sultana S, Akter H, Azad MR, Hasan R. Acute acalculous cholecystitis in dengue fever with raised transaminase. KYAMC Journal. 2024;14(04):190-193. Available in: https://doi.org/10.3329/kyamcj.v14i04.70193

  5. Netto FS, Scherer JR, Oliveira CS. Acute acalculous cholecystitis in dengue fever: an alert for emergency surgeons. Panam J Trauma Crit Care Emerg Surg. 2017;6(2):124-126. doi: 10.5005/jp-journals-10030-1180

  6. Chandey M, Kaur H, Kaur S. Acute acalculous cholecystitis in dengue fever patients Int J Adv Med. 2017;4(2):375-377. doi: 10.18203/2349-3933.ijam20170923.

  7. Wu KL, Changchien CS, Kuo CM, Chuah SK, Lu SN, Eng HL, et al. Dengue fever with acute acalculous cholecystitis. Am J Trop Med Hyg. 2003;68(6):657-660.

  8. Marín J, Vilcarromero S, Forshey BM, Celis-Salinas JC, Ramal-Asayag C, Morrison AC, et al. Compromiso gastrointestinal agudo en pacientes con dengue por serotipo 4. Comunicación de un caso y revisión de la literatura. Rev Chilena Infectol. 2013;30(5):541-547.

  9. Gurung S, Karki S, Khadka M, Gurung S, Dhakal S. Acute acalculous cholecystitis in a patient with dengue fever: a case report. Ann Med Surg (Lond). 2022;84:104960. doi: 10.1016/j.amsu.2022.104960.

  10. Marasinghe JP, Sriyasinghe RY, Wijewantha VI, Gunaratne KA, Wijeyaratne CN. Acute acalculous cholecystitis due to dengue hemorrhagic fever during pregnancy. J Obstet Gynaecol Res. 2011;37(10):1489-1492. doi: 10.1111/j.1447-0756.2011.01537.x.

  11. Setyawati AN, Tjahjono Dk K, Chionardes MA, Arkhaesi N. Acute acalculous cholecystitis in a pediatric dengue hemorrhagic fever patient: A case report, lesson learned from limited resource setting. Ann Med Surg (Lond). 2022;81:104437. doi: 10.1016/j.amsu.2022.104437.

  12. Sood A, Midha V, Sood N, Kaushal V. Acalculous cholecystitis as an atypical presentation of dengue fever. Am J Gastroenterol. 2000;95(11):3316-3317. doi: 10.1111/j.1572-0241.2000.03316.x.

  13. Lai YT, Kalimuddin S, Ng HJH, Tay GCA. Acute acalculous cholecystitis in dengue fever: a case series. Singapore Med J. 2024;65(6):364-367. doi: 10.11622/smedj.2021168.




Figure 1
Figure 2
Table 1

2020     |     www.medigraphic.com

Mi perfil

C?MO CITAR (Vancouver)

Sal Jal. 2025;12