medigraphic.com
ENGLISH

Medicina Crítica

  • Mostrar índice
  • Números disponibles
  • Información
    • Información general        
    • Directorio
  • Publicar
    • Instrucciones para autores        
  • Políticas
  • Lineamientos
  • medigraphic.com
    • Inicio
    • Índice de revistas            
    • Registro / Acceso
  • Mi perfil

2025, Número 2

<< Anterior Siguiente >>

Med Crit 2025; 39 (2)


Choque cardiogénico secundario a miocardiopatía por estrés: reporte de un caso y revisión de la literatura

Salvador Ibarra, Ibzan Jahzeel1; Pizaña Dávila, Alejandro1
Texto completo Cómo citar este artículo 10.35366/121729

DOI

DOI: 10.35366/121729
URL: https://dx.doi.org/10.35366/121729
Artículos similares

Idioma: Español
Referencias bibliográficas: 30
Paginas: 161-166
Archivo PDF: 1083.95 Kb.


PALABRAS CLAVE

disfunción sistólica, transitoria, catecolaminas, acinesia, fracción de expulsión del ventrículo izquierdo.

RESUMEN

La miocardiopatía de takotsubo caracterizada por disfunción ventricular izquierda sistólica aunque puede haber otras presentaciones, regional y transitoria, habitualmente desencadenada por un evento estresante emocional o físico principalmente en mujeres postmenopáusicas. Se ha relacionado con cardiotoxicidad inducida por un impulso de catecolaminas y disfunción microvascular como patogénesis, requiere realizar un diagnóstico diferencial con el síndrome coronario agudo para un tratamiento de apoyo y sintomático oportuno.



ABREVIATURAS:

  • ECG = electrocardiograma
  • FC = frecuencia cardiaca
  • FEVI = fracción de eyección del ventrículo izquierdo
  • FV = fibrilación ventricular
  • IM = infarto de miocardio
  • lpm = latidos por minuto
  • MT = miocardiopatía de takotsubo
  • OTSVI = obstrucción del tracto de salida del ventrículo izquierdo
  • VI = ventrículo izquierdo



INTRODUCCIóN

La primera descripción de la miocardiopatía de takotsubo (MT) fue informada inicialmente por Sato y colaboradores en Japón en 1990.1 La MT, también conocida como miocardiopatía por estrés, síndrome del corazón roto o síndrome de globo apical, ha surgido como una forma importante de lesión miocárdica aguda reversible caracterizada por disfunción ventricular izquierda sistólica, regional y transitoria.2,3 Takotsubo se refiere a la clásica forma de globo apical que se observa en la mayoría de los casos y que se asemeja a la trampa para pulpos utilizada en Japón.4 Aunque se desconoce la incidencia precisa de la miocardiopatía por estrés, los datos de las dos cohortes más grandes de pacientes sugieren una incidencia de aproximadamente 15 a 30 casos por 100,000 por año en los Estados Unidos, con cifras estimadas similares en Europa.5 Se ha reportado que las mujeres tienen mayores probabilidades de desarrollar MT (razón de probabilidades 8.8), las mujeres > 55 años tenían 4.8 veces más probabilidades de desarrollar MT en comparación con las mujeres < 55 años.6 Además, la miocardiopatía por estrés puede diagnosticarse erróneamente como un síndrome coronario agudo (SCA), y se estima que entre 1 y 2% de los pacientes con sospecha de síndrome coronario agudo son finalmente diagnosticados con miocardiopatía por estrés.7



PRESENTACIóN DEL CASO

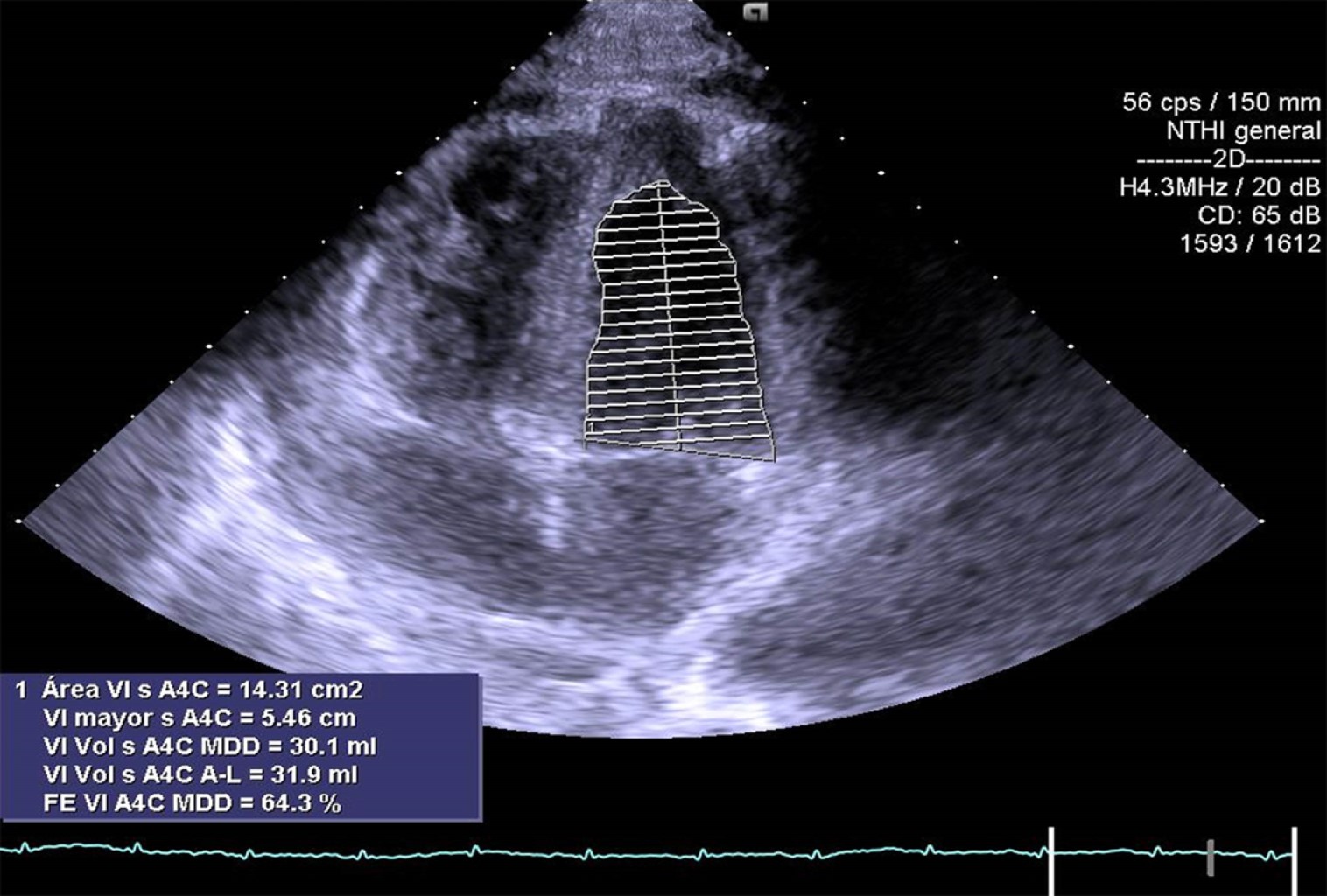
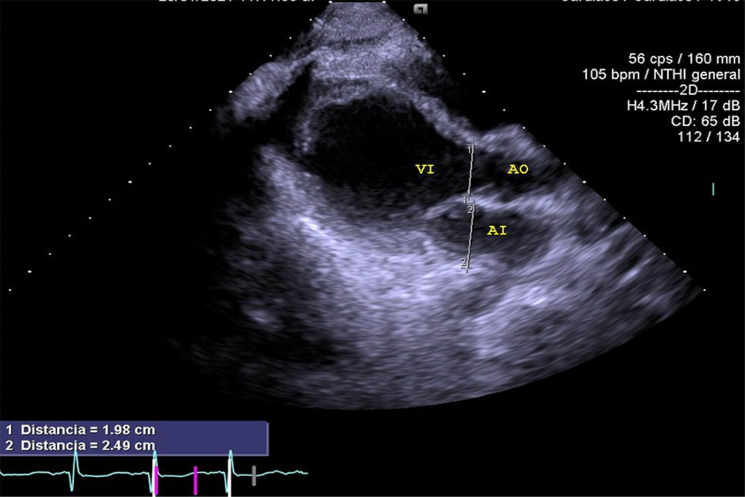
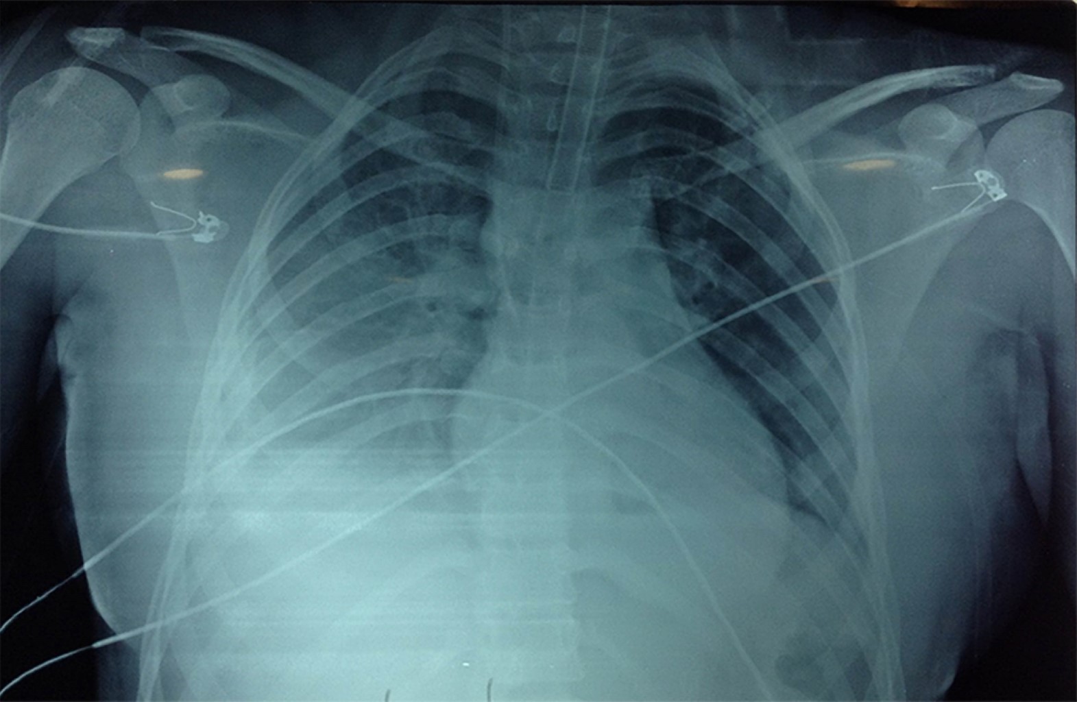
Mujer de 17 años de edad sin antecedentes de importancia, la cual ingresa al área de urgencias trasladada por paramédicos en camilla después de sufrir trauma debido a desaceleración súbita por caída de 10 metros de altura, sufriendo contusión directa y múltiples fracturas en miembros pélvicos, pelvis y cara, por lo que se le realizó colocación de fijadores externos en pelvis y lavado quirúrgico. Ingresó a terapia intensiva con Glasgow de 15 puntos, facies álgica, palidez de piel y tegumentos, con dolor intenso en pelvis escala visual analógica (EVA) 9/10. Con requerimiento de oxígeno suplementario a cinco litros por minuto con disminución de los movimientos de amplexión y amplexación del hemitórax derecho, matidez a la percusión, aumento de las vibraciones vocales y disminución de murmullo vesicular en región basal de hemitórax derecho; signos vitales: presión arterial (TA) 90/50 mmHg, frecuencia cardiaca (FC) 109 latidos por minuto (lpm), frecuencia respiratoria (FR) 16 respiraciones por minuto (rpm), saturación periférica de oxígeno (SpO2) 100%, temperatura 36.6°C, llenado capilar 4 s. Laboratorio: hemoglobina (Hb) 6.8 g/dL, hematocrito (Hct) 19.9%, plaquetas 88,000 × 109/L, tiempo de protrombina (TP) 17.3 s, tiempo parcial de tromboplastina (TPT) 27.5 s, índice internacional normalizado (INR) 1.29, creatina fosfocinasa (CPK) 1,282.52 U/L, isoenzima MB de la creatina cinasa (CPK-MB) 1.2 ng/dL. Se realiza tomografía de abdomen, la cual evidencia hematoma retroperitoneal evolutivo desde plano fascial y perirrenal posterior. La paciente ameritó ventilación mecánica y fue sometida a laparotomía exploradora de urgencia. A su egreso de quirófano y posterior a la reanimación con hemoderivados, continuó con datos de choque con TA 60/40 mmHg, frecuencia cardiaca 105 lpm, llenado capilar 5 s, por lo cual requirió manejo con doble vasopresor: norepinefrina 0.15 μg/kg/min y vasopresina 0.03 UI/h; sin embargo, continua con presión arterial media < 65 mmHg. Se le realiza radiografía de tórax (Figura 1) donde se observa contusión pulmonar en región basal de hemitórax derecho, con corazón en gota. Electrocardiograma (ECG) (Figura 2): ritmo sinusal, frecuencia cardiaca 120 lpm, con aplanamiento de la onda T en la mayoría de las derivaciones excepto en V2, depresión del segmento ST en aVR y ausencia de elevación del segmento ST en V1. Se realizó ecocardiograma transtorácico (ECOTT) (Figuras 3 y 4), en el que se observa movilidad conservada solamente en ápex, condicionando tracción del ventrículo derecho; resto con hipocinesia generalizada, ventrículo derecho dilatado con función sistólica global deprimida con hipocinesia generalizada, fracción de eyección del ventrículo izquierdo (FEVI) 21.7%, puntaje InterTAK de 49 puntos. Requirió manejo con inotrópico dobutamina 3 μg/kg/min con mejoría de presión arterial media y datos de choque. Presentó una evolución favorable, logrando retiro de inotrópico 24 horas después por mejoría con control ecocardiográfico seis días después (Figura 5), con recuperación de FEVI: 64.3%. La paciente requirió fijación de fracturas de huesos de la cara y miembros pélvicos y posteriormente fue trasladada a otra unidad hospitalaria para continuar con tratamiento ortopédico.



DISCUSIóN

La miocardiopatía por estrés es un síndrome clínico caracterizado por disfunción sistólica (y diastólica) del ventrículo izquierdo (VI) aguda y transitoria (< 21 días) a menudo relacionada con un evento estresante emocional o físico, que se identifica con mayor frecuencia en los días anteriores (uno a cinco días). La presencia de anomalías del movimiento de la pared regional del VI que se extienden de forma característica más allá de una única distribución de arteria coronaria epicárdica define el síndrome. El patrón característico de anomalía regional del movimiento de la pared del VI es la hipocinesia/acinesia/discinesia apical (abombamiento apical) con hipercinesia basal. Se han descrito otras formas de disfunción sistólica localizadas en la base o en las regiones medioventriculares, aunque con menor frecuencia.8,9

Muchas hipótesis se han relacionado con la aparición de MT. Recientemente, las teorías más aceptadas son la cardiotoxicidad inducida por catecolaminas y la disfunción microvascular. Wittstein y colaboradores informaron que los niveles plasmáticos de catecolaminas (epinefrina, norepinefrina y dopamina) entre los pacientes con MT eran de dos a tres veces los valores observados en los pacientes con infarto de miocardio (IM).10 En respuesta a estímulos repentinos, inesperados, angustia emocional severa, las neuronas de la red autónoma central que expresan receptores de estrógenos se activan, seguidas de aumentos marcados en las salidas hormonales neuronales simpáticas y adrenomedulares. La epinefrina liberada de la médula suprarrenal y la noradrenalina de los nervios simpáticos cardiacos y extracardiacos llegan a los receptores adrenérgicos en los vasos sanguíneos y el corazón. La contracción de los vasos de resistencia aumenta rápidamente la presión arterial sistémica y la postcarga cardiaca. Mientras tanto, dentro del corazón, los altos niveles circulantes de noradrenalina y epinefrina, con una mayor liberación y una menor recaptación por parte de los nervios simpáticos, inducen toxicidad por catecolaminas en los cardiomiocitos a través de la ocupación de los adrenoceptores. En el síndrome de takotsubo, los niveles elevados de catecolaminas estimulan el acoplamiento beta-2 de Gs (proteína G estimuladora) a Gi (proteína G inhibitoria), lo que produce inotropía negativa y la disfunción contráctil ventricular izquierda resultante.11 Este efecto se ha denominado "tráfico de estímulos" y puede explicar plausiblemente las formas apicales del síndrome de takotsubo, donde los receptores beta adrenérgicos son los más altos en número; sin embargo, no aclara las otras formas del síndrome de takotsubo. El estrógeno proporciona efectos cardioprotectores directos que incluyen vasodilatación, protección vascular y efectos contra la aterosclerosis y la disfunción endotelial.12 En mujeres posmenopáusicas, la pérdida de los efectos de los estrógenos exagera las respuestas de las neuronas centrales y las células cardiacas y posiblemente atenúa la producción de sustancias cardioprotectoras.13 Más de 90% de las pacientes con MT son mujeres posmenopáusicas, lo que sugiere que la deficiencia de estrógenos puede correlacionarse con un mayor riesgo de síndrome de takotsubo.14 Aunque el síndrome de takotsubo es menos prevalente en los hombres, tienen un peor pronóstico que en las mujeres.15

Desde su primera descripción detallada, la miocardiopatía por estrés con anomalías en el movimiento de la pared similares a "takotsubo" o pulpo en maceta, con cuello estrecho y porción inferior globular en forma de globo apical, sigue siendo el patrón típico y está presente en 75 a 80% de los pacientes.9,16 El patrón de abombamiento medioventricular, en el que el VI medio es hipo o acinético, con contracción apical y basal normal, está presente en 10 a 20% de los pacientes y se asocia con una reducción más grave del gasto cardiaco y choque cardiogénico. El takotsubo basal o invertido se encuentra en < 5% de los pacientes9,17 y se asocia con un compromiso hemodinámico menos severo. Otras variantes raras incluyen disfunción biventricular y compromiso aislado del ventrículo derecho, que se asocian con compromiso hemodinámico grave y choque, y disfunción focal localizada que son de naturaleza más benigna y se asemejan a casos de miocarditis focal.11

Se ha reportado que los desencadenantes emocionales no son tan frecuentes como los desencadenantes físicos (27.7% frente a 36.0%) y 28.5% de los pacientes no presentaban ningún desencadenante evidente.9 El paciente característico con miocardiopatía por estrés es una mujer postmenopáusica que presenta un inicio agudo o subagudo de dolor torácico (> 75%) y/o disnea (aproximadamente 50%), a menudo con mareos (> 25%) y síncope ocasional (5 a 10%).9,18 También se han informado síntomas inespecíficos como debilidad, tos y fiebre.8 Las presentaciones clínicas más críticas como choque cardiogénico se presentan en 4.2% y fibrilación ventricular en 1.5%.7 Se han propuesto varios criterios diagnósticos en el mundo.19 Los primeros fueron los criterios propuestos por la Clínica Mayo; actualmente, los más utilizados son los criterios de diagnóstico de la Asociación de Insuficiencia Cardiaca de la Sociedad Europea de Cardiología para el síndrome de takotsubo (Tabla 1),17 también se han propuesto los criterios diagnósticos internacionales de takotsubo (criterios diagnósticos InterTAK) (Tabla 2).20,21

El ECG es anormal en la mayoría de los pacientes con miocardiopatía de estrés (> 95%),17 por lo general muestra cambios isquémicos del segmento ST y de la onda T.16,17 La inversión de la onda T, a menudo profunda y generalizada, y la prolongación significativa del QT, que generalmente se desarrolla de 24 a 48 horas después del inicio de los síntomas o del desencadenante estresante, son bastante específicas de la miocardiopatía por estrés y representan uno de los puntos de evaluación en los criterios de InterTAK.22 La elevación del segmento ST que involucra derivaciones precordiales también se observa sólo en aproximadamente 40% de los casos,18 suele ser más evidente en las derivaciones precordiales V3-V6. La magnitud de la elevación del segmento ST y el número de derivaciones que muestran este patrón suele ser menor en los pacientes con MT que en los casos de infarto de miocardio con elevación del ST.23 Kosuge y colaboradores encontraron que la combinación de depresión del segmento ST en aVR y la ausencia de elevación del segmento ST en V1 podría revelar MT con 91% de sensibilidad, 96% de especificidad y 95% de precisión predictiva.24 La depresión del segmento ST es poco común, ocurre en < 10% de los pacientes.9,22 Para distinguir entre MT anterior e IM, el ECG no debe revelar cambios recíprocos y ondas Q con la relación de elevación del ST en las derivaciones V4-6 a V1-3 > 1, y también la ausencia de depresión del ST o después de una elevación del ST inferior.25

En los estudios de laboratorio, la troponina T o I cardiaca, medida mediante ensayos convencionales (sin sensibilidad alta), está elevada en > 90% de los pacientes,18 y los niveles máximos de troponina son generalmente < 10 ng/mL,9 la CK-MB sólo está levemente elevada en la mayoría de los pacientes con miocardiopatía por estrés.26 También se ha observado que el péptido natriurético de tipo B (BNP) y el pro-BNP amino terminal (NT-proBNP) aumentan con frecuencia hasta 3-4 veces más en comparación con los pacientes con síndrome coronario agudo, los niveles significativamente elevados de estos biomarcadores no se relacionan con la congestión pulmonar o la presión de enclavamiento capilar pulmonar, sino que se asocian con una FEVI reducida y niveles elevados de catecolaminas en plasma, lo que reveló la patogenia de la MT y su gravedad.27

La ecocardiografía transtorácica con Doppler tisular y color es la prueba de imagen no invasiva preferida para los pacientes con sospecha de miocardiopatía por estrés.17 Una acinesia/discinesia global del VI con un patrón circunferencial clásico que afecta a todo el vértice (más común) o los segmentos medioventriculares o basales sería sugestiva de miocardiopatía por estrés. La insuficiencia cardiaca sistólica es la complicación más frecuente en la fase aguda y afecta de 12 a 45% de los pacientes.7 Los predictores independientes son: edad avanzada, FEVI inferior en el momento de la presentación, niveles más altos de troponina al ingreso y pico, patrón medioventricular, compromiso del ventrículo derecho y un factor estresante físico. También pueden ocurrir obstrucción del tracto de salida del VI (OTSVI), arritmias, tromboembolismo sistémico, hemorragia y rotura intramiocárdica. La resonancia magnética cardiaca (RMC) podría mostrar características de imagen particulares como la afectación del ventrículo derecho y diferenciarla de otras miocardiopatías.28 El tratamiento de los pacientes hemodinámicamente estables a menudo se realiza con diuréticos, inhibidores de la enzima convertidora de angiotensina (ECA) y bloqueadores beta. El flujo sanguíneo bajo dentro del segmento apical es la presunta causa de trombosis apical. Para reducir el riesgo de tromboembolismo, los pacientes con pérdida de movimiento del vértice del ventrículo izquierdo deben tratarse con terapia anticoagulante hasta que mejore la contractilidad del vértice, a menos que exista una contraindicación definida.27

En los pacientes que presentan insuficiencia cardiaca por MT es fundamental determinar el patrón de miocardiopatía y la presencia o ausencia de OTSVI, que suele obtenerse mediante ecocardiografía transtorácica. Para los pacientes con congestión pulmonar y sin hipotensión o signos de gasto cardiaco bajo, el tratamiento tiene como objetivo reducir el retorno venoso con venodilatadores (nitroglicerina, nitroprusiato o nesiritida) y con agentes diuréticos. Los vasodilatadores arteriales se pueden utilizar en pacientes con hipertensión arterial sistémica; sin embargo, se necesita precaución para evitar el empeoramiento de la OTSVI. Pueden añadirse bloqueadores de los receptores β-adrenérgicos en dosis bajas para tratar la hipertensión en pacientes hemodinámicamente estables. Para los pacientes con hipotensión y choque, el tratamiento difiere según haya evidencia de OTSVI o no. En ausencia de obstrucción, se puede considerar que los fármacos con acción inotrópica positiva (dobutamina, milrinona, dopamina o levosimendán) para aumentar el gasto cardiaco; sin embargo, incluso si no hay OTSVI al inicio del estudio, se necesita una evaluación de seguimiento a corto plazo para garantizar que la adición de un inótropo no provocó la obstrucción. Si los agentes inotrópicos no son suficientes, los fármacos vasopresores (fenilefrina, norepinefrina o vasopresina) deben considerarse en la dosis más baja posible y como un agente temporizador como puente hacia el soporte mecánico con un dispositivo de asistencia ventricular izquierda o como puente hacia la recuperación. La bomba de contrapulsación aórtica con bomba de balón intraaórtico y el dispositivo de asistencia ventricular izquierda percutánea a través de Impella son adecuados para proporcionar apoyo temporal.29,30



CONCLUSIONES

La miocardiopatía de takotsubo definida como una anomalía sistólica temporal y reversible del área apical del ventrículo izquierdo que se asemeja a un infarto de miocardio en la inexistencia de enfermedad de las arterias coronarias. La cual muchas veces puede estar infradiagnosticada por la similitud con el IM, debe sospecharse y descartarse en paciente con patología aguda como en el caso presentado en el cual tras el estímulo desencadenante que fue el trauma presentó choque cardiogénico ameritando tratamiento inotrópico y vasopresor con resolución temprana.



AGRADECIMIENTOS

A todo el personal que labora en el Hospital Ángeles Mocel.


REFERENCIAS (EN ESTE ARTÍCULO)

  1. Sato H, Tateishi H, Dote K, Uchida T, Ishihara M. Tako-tsubo like left ventricular dysfunction due to multivessel coronary spasm. In: Kodama K, Haze K, Hori M, editors. Clinical aspects of myocardial injury: from ischemia to heart failure. Tokyo: Tokio Kagakuhyoronsha Publ Co., 1990,pp.56-64.

  2. Hurst RT, Prasad A, Askew JW, Sengupta PP, Tajik AJ. Takotsubo cardiomyopathy: a unique cardiomyopathy with variable ventricular morphology. J Am Coll Cardiol Img. 2010;3:641-649.

  3. Medeiros K, O'Connor MJ, Baicu CF, Fitzgibbons TP, Shaw P, Tighe DA, et al. Systolic and diastolic mechanics in stress cardiomyopathy. Circulation. 2014;129:1659-1667.

  4. Kurisu S, Sato H, Kawagoe T, Ishihara M, Shimatani Y, Nishioka K, et al. Tako-tsubo-like left ventricular dysfunction with ST-segment elevation: a novel cardiac syndrome mimicking acute myocardial infarction. Am Heart J. 2002;143:448-455.

  5. Brinjikji W, El-Sayed AM, Salka S. In-hospital mortality among patients with takotsubo cardiomyopathy: a study of the National Inpatient Sample 2008 to 2009. Am Heart J. 2012;164:215-221.

  6. Deshmukh A, Kumar G, Pant S, Rihal C, Murugiah K, Mehta JL. Prevalence of takotsubo cardiomyopathy in the United States. Am Heart J. 2012;164(1):66-71.e1.

  7. Gianni M, Dentali F, Grandi AM, Sumner G, Hiralal R, Lonn E. Apical ballooning syndrome or takotsubo cardiomyopathy: a systematic review. Eur Heart J. 2006;27:1523-1529.

  8. Tsuchihashi K, Ueshima K, Uchida T, Oh-mura N, Kimura K, Owa M, et al. Transient left ventricular apical ballooning without coronary artery stenosis: a novel heart syndrome mimicking acute myocardial infarction. Angina pectoris-myocardial infarction investigations in Japan. J Am Coll Cardiol. 2001;38:11-18.

  9. Templin C, Ghadri JR, Diekmann J, Napp LC, Bataiosu DR, Jaguszewski M, et al. Clinical features and outcomes of takotsubo (stress) cardiomyopathy. N Engl J Med. 2015;373:929-938.

  10. Wittstein IS, Thiemann DR, Lima JAC, Baumghman KL, Schulman SP, Gerestenblith G, et al. Neurohormonal features of myocardial stunning due to sudden emotional stress. N Eng J Med. 2005;352:539-548.

  11. Lyon AR, Rees PS, Prasad S, Poole-Wilson PA, Harding SE. Stress (takotsubo) cardiomyopathy--a novel pathophysiological hypothesis to explain catecholamine-induced acute myocardial stunning. Nat Clin Pract Cardiovasc Med. 2008;5(1):22-29.

  12. Moolman JA. Unravelling the cardioprotective mechanism of action of estrogens. Cardiovasc Res. 2006;69(4):777-780.

  13. Akashi YJ, Goldstein DS, Barbaro G, Ueyama T. Takotsubo cardiomyopathy: a new form of acute reversible heart failure. Circulation. 2008;118:2754-2762.

  14. Khalid N, Ahmad SA, Shlofmitz E, Chhabra L. Racial and gender disparities among patients with takotsubo syndrome. Clin Cardiol. 2019;42(1):19.

  15. Khalid N, Ahmad SA, Umer A, Chhabra L. Factors impacting prognosis among patients with tako-tsubo syndrome. Rev Esp Cardiol. 2019;72(8):694.

  16. Sharkey SW, Maron BJ. Epidemiology and clinical profile of takotsubo cardiomyopathy. Circ J. 2014;78:2119-2128.

  17. Lyon AR, Bossone E, Schneider B, Sechtem U, Citro R, Underwood SR, et al. current state of knowledge on takotsubo syndrome: a position statement from the taskforce on takotsubo syndrome of the heart failure Association of the European Society of Cardiology. Eur J Heart Fail. 2016;18:8-27.

  18. Pilgrim TM, Wyss TR. Takotsubo cardiomyopathy or transient left ventricular apical ballooning syndrome: a systematic review. Int J Cardiol. 2008;124:283-292.

  19. Scantlebury DC, Prasad A. Diagnosis of takotsubo cardiomyopathy. Circ J. 2014;78(9)2129-2139.

  20. Ghadri JR, Wittstein IS, Prasad A, Sharkey S, Dote K, Akashi YJ, et al. International expert consensus document on takotsubo syndrome (part I): clinical characteristics, diagnostic criteria, and pathophysiology. Eur Hear J. 2018;39:2032-2046.

  21. Ghadri JR, Wittstein IS, Prasad A, Sharkey S, Dote K, Akashi YJ, et al. International expert consensus document on takotsubo syndrome (part II): diagnostic workup, outcome and management. Eur Hear J. 2018;39:2047-2062.

  22. Ghadri JR, Cammann VL, Jurisic S, Seifert B, Napp LC, Diekmann J, et al. A novel clinical score (InterTAK Diagnostic Score) to differentiate takotsubo syndrome from acute coronary syndrome: results from the International Takotsubo Registry. Eur J Heart Fail. 2017;19:1036-1042.

  23. Duran A, Sutil M, Fiol M, Núñez IJ, Vila M, Sans J, et al. Systematic review of the electrocardiographic changes in the takotsubo syndrome. Ann Noninvasive Electrocardiol. 2015;20:1-6.

  24. Kosuge M, Ebina T, Hibi K, Morita S, Okuda J, Iwahashi N, et al. Simple and accurate electrocardiographic criteria to differentiate takotsubo cardiomyopathy from anterior acute myocardial infarction. J Am Coll Cardiol. 2010;55:2514-2516.

  25. Ogura R, Hiasa Y, Takahashi T, Yamaguchi K, Fujiwara K, Ohara Y, et al. Specific findings of the standard 12-lead ECG in patients with 'Takotsubo' cardiomyopathy: Comparison with the findings of acute anterior myocardial infarction. Circ J. 2003;67:687-690.

  26. Kurisu S, Kihara Y. Tako-tsubo cardiomyopathy: clinical presentation and underlying mechanism. J Cardiol. 2012;60:429-437.

  27. Nguyen TH, Neil CJ, Sverdlov AL, Mahadavan G, Chirkov YY, Kucia AM, et al. N-terminal pro-brain natriuretic protein levels in takotsubo cardiomyopathy. Am J Cardiol. 2011;108:1316-1321.

  28. Komamura K, Fukui M, Iwasaku T, Hirotani S, Masuyama T. Takotsubo cardiomyopathy: pathophysiology, diagnosis and treatment. World Journal of Cardiology. 2014;6(7):602-609.

  29. Lisi E, Guida V, Blengino S, Pedrazzi E, Ossoli D, Parati G. Intra-aortic balloon pump for treatment of refractory ventricular tachycardia in tako-tsubo cardiomyopathy: a case report. Int J Cardiol. 2014;174:135-136.

  30. Rashed A, Won S, Saad M, Schreiber T. Use of the Impella 2.5 left ventricular assist device in a patient with cardiogenic shock secondary to takotsubo cardiomyopathy. BMJ Case Rep 2015;2015:1-4.



AFILIACIONES

1 Hospital Ángeles Mocel. Ciudad de México, México.



CORRESPONDENCIA

Ibzan Jahzeel Salvador Ibarra. E-mail: ibzjah@gmail.com




Recibido: 29/03/2021. Aceptado: 07/08/2025.







Figura 1
Figura 2
Figura 3
Figura 4
Figura 5
Tabla 1
Tabla 2

2020     |     www.medigraphic.com

Mi perfil

C?MO CITAR (Vancouver)

Med Crit. 2025;39

ARTíCULOS SIMILARES

CARGANDO ...